Practical Panoramic Imaging
Course Number: 589
Course Contents
Sub-category 1: Incorrect Head Orientation
There are three planes in which the patient’s head may be positioned incorrectly: 1) Horizontal, 2) Vertical, and 3) Anteroposterior. Incorrect positioning in each plane produces characteristic effects. Of course, there is the possibility of multiple errors in more than one plane which will produce multiple and sometimes compounding effects and, thus, are referred to as “compound” errors. The analysis of positioning errors involves stepwise recognition of the radiographic features associated with each planar discrepancy.
Horizontal plane discrepancies. These errors alter the position of the teeth and jaws on one side relative to the path of the effective rotation center and x-ray beam projection. The two feasible options are that the patient is, 1) twisted (rotated) with respect to the machine (Figure 41), or 2) that their head is tilted (Figure 42). Both occur because the midsagittal plane of the patient’s head is not correctly aligned at the time of exposure. This can happen if the patient “follows” the receptor during exposure and moves off-center.
Figure 41. Rotated/Twisted/Turned.
Figure 42. Tilted/Canted.
This error can be prevented by ensuring the midsagittal reference line of the panoramic unit coincides with the patient’s midline and that this line is perpendicular to the floor. Prevention of patient movement can be facilitated by adjustment of the lateral head supports to stabilize the patient to prevent movement during exposure.
The principal effect of mispositioning the patient is to offset more lateral and posterior structures, like the posterior dentition and ramus, with respect to the focal trough and x-ray beam projection.
Twisting. The most obvious image effects from the patient head “twisting” within the machine are anatomic. Most noticeably:
The width of ramus on one side reduces (closer to the receptor) and becomes closer to the spine.
The width of the ramus on other side increases (farther away from the receptor) and is further away from the spine and may also be projected off the image.
The nasal conchae on the side opposite the twisting are more pronounced.
The maxillary sinus and nasal fossa of the same side as the twisting become more noticeable.
While the anterior teeth remain normal, there are two secondary effects on the dentition:
The first is that tooth size increases posteriorly on the side opposite to the direction of head tilt and,
Secondly, there appears to be increased overlapping of contacts on the opposite side of the tilt.
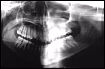
These figures demonstrate the effects of twisting. Elongation of left mandible, reduction in size of teeth on the opposite side, occlusal plane canting and pronounced tooth overlap on the same side.
Figure 43A. Panoramic Image.
Figure 43B. Panoramic Schematic.
These figures demonstrate the effects of twisting. Elongation of left mandible, reduction in size of teeth on the opposite side, occlusal plane canting and pronounced tooth overlap on the same side.
Tilting. The principal effect of tilting the patient’s head is to create artifacts in the dentition and ramus superoinferiorly. The most obvious image effects are also anatomic. Most noticeably:
The lower border of the mandible slopes markedly on the side to which the head is tilted.
The mandible also appears elongated and tilted up.
The effects of tilting on the dentition include:
A reduction in the size of the teeth on the tilted side.
A greater overlap of the teeth on the opposite side.
Canting (sloping) of the occlusal plane towards the tilted side.
These figures demonstrate the effects of head tilting on the resultant image.
Figure 44A. Panoramic Image.
Figure 44B. Panoramic Schematic.
These figures demonstrate the effects of head tilting on the resultant image.
Vertical plane discrepancies. These errors alter the relative position of the occlusal plane of the teeth and condyles of the mandible. The viable options are that the patient’s chin is positioned too far up, too far down, or not positioned on the chin rest (when this is used to position the patient). Vertical errors occur when the patient’s head is incorrectly positioned superiorly or inferiorly in the machine. The instructions in the manufacturer’s manual may vary in the plane that is used to adjust the patient’s head up or down. Prevention of this error can be accomplished by ensuring that the patient’s horizontal reference line is parallel to the floor or the lateral reference markers.
Head/chin tilted too high. The first possibility is that the patient’s head is positioned too high or tilted up.
Figure 52. Head/Chin Up.
These figures demonstrate the effects of positioning the head too far up.
Figure 46A. Panoramic Image.
Figure 46B. Panoramic Schematic.
These figures demonstrate the effects of positioning the head too far up.
Most noticeably, this produces a frown configuration of the occlusal plane.
The hard palate is superimposed over the maxillary teeth apices.
The TMJs are pushed posteriorly and often are projected off the sides of the image.
The nasal cavity and other superior structures are blurred and out of focus.
The maxillary anterior teeth may appear elongated and fuzzy.
Head/chin tilted too low. The second possibility is that the patient’s head is tilted too far down. The principal effect of tilting the chin down is to position more of the maxilla into the focal trough, align the maxillary teeth, and to bring less of the mandibular anterior area into the focal trough. The anatomic effects of positioning the head too far down can be severe and may necessitate retaking the image.
Figure 47. Head/Chin Down.
Most noticeably, this produces a grin or “Jack-O-Lantern” configuration of the occlusal plane.
The TMJs are positioned higher and often are projected off the top of the image.
The hyoid bone comes into the doubling diamond and forms a single widened line. The hyoid may superimpose over the lower border of the mandible.
The anterior mandible is usually widened and out of focus.
The mandibular anterior teeth may display pronounced foreshortening and appear out of focus.
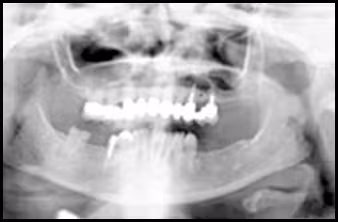
These figures demonstrate the effects of positioning the head too far down.
Figure 48A. Panoramic Image.
Figure 48B. Panoramic Schematic.
These figures demonstrate the effects of positioning the head too far down.
Chin not on chin rest. The third possibility is that the patient’s chin is lifted from the chin rest. This usually happens because the initial height of the machine is lower than the height required for the patient. Often a patient will stoop to enter a panoramic machine but once they are positioned and immediately before exposure, they will straighten themselves up.
The main visual effect of the chin being lifted from the chin rest is to create an image with a shift of anatomic structures superiorly. This may result in the top of the sinus and the condyles being cut off.
The original panoramic image and a cropped/zoomed version of the same image demonstrate the effects of positioning the head off the chin rest. Note that in addition to that error, the patient is positioned too far forward, and the head is tilted.
Figure 49A. Panoramic Image.
Figure 49B. Image Cropped and Zoomed.
The original panoramic image and a cropped/zoomed version of the same image demonstrate the effects of positioning the head off the chin rest. Note that in addition to that error, the patient is positioned too far forward, and the head is tilted.
Anteroposterior plane discrepancies. These errors alter the position of the teeth, especially the anterior teeth in the focal trough. The two likely options are that the patient is positioned too far forward or too far backward.
Too far forward. Anterior positioning of the patient too far forward occurs due to patient slipping forward beyond the bite piece groove, sucking the bite block, or not using a bite block.
Figure 50. Too Far Forward
Prevention of this error first necessitates that a bite block is used; secondly, it requires that the patient’s anterior teeth be placed in an end-to-end position in the bite block groove. Prevention of subsequent patient movement can be aided by adjustment of the forehead support, when available, to prevent the patient from sliding forward.
The effect of positioning the patient too far forward is to place structures that are normally within the focal trough, like the anterior dentition, further anteriorly and out of focus, and to bring more posterior structures, like the spine, nasal fossa, and maxillary sinus into the focal trough.
Most noticeably, the spine is superimposed over the ramus bilaterally.
The anterior teeth are narrowed in width on both arches and out of focus.
Severe overlapping of the teeth, particularly the premolars occurs.
These figures demonstrate the visual effects on the image when the patient’s head is too far forward during exposure: spine superimposes over the ramus area, nasal fossa and maxillary sinus become clearly evident, and the anterior teeth are narrowed and blurred.
Figure 51A. Panoramic Image.
Figure 51B. Panoramic Schematic.
These figures demonstrate the visual effects on the image when the patient’s head is too far forward during exposure: spine superimposes over the ramus area, nasal fossa and maxillary sinus become clearly evident, and the anterior teeth are narrowed and blurred.
Prevention of this error, as with anterior positioning errors, necessitates that a bite block is used; secondly, it requires that the patient’s anterior teeth be placed in an end-to-end position in the bite block groove. In instances when the patient has trismus or their jaws are wired together; the clinician can use the bite piece to measure the approximate distance to position the patient on the chin rest.
The principal effect of positioning the patient too far back is to place structures that are normally within the focal trough, like the anterior dentition, further posteriorly and out of focus.
Most noticeably, severe ghosting of the ramus and mandible occurs.
The anterior teeth are widened on both arches and out of focus.
Blurring of the turbinates (nasal conchae) across the sinus occurs.
Widening of the entire image, causing cutting off of posterior structures.
These figures show the effects of positioning the patient’s head too far back: widening of the entire image, loss of the posterior ramus of the mandible (right), accentuated ghosting of the mandible, blurring of the turbinates across the sinus, and pronounced widening of the anterior teeth.
Figure 52A. Panoramic Image.
Figure 52B. Panoramic Schematic.
These figures show the effects of positioning the patient’s head too far back: widening of the entire image, loss of the posterior ramus of the mandible (right), accentuated ghosting of the mandible, blurring of the turbinates across the sinus, and pronounced widening of the anterior teeth.
Table 7. Patient Positioning Error Summary.
| Panoramic Patient Positioning Errors | ||
|---|---|---|
| Error Type | Description | Correction |
| Midsagittal Plane (Horizontal) | ||
| Head Rotated/Twisted/Turned | Error presents with distortion of structures right to left. Structures on one side appear narrow (labial to the focal trough) while structures on the other side appear wide (lingual to the focal tough). | Center the patient’s midline so that it is straight and aligned perpendicular to the floor. |
| Head Tilted/Canted | Error presents similar to head rotation in terms of structure distortion. In addition, one side is higher than the other and the occlusal plane is crooked. | Center the patient’s midline so that it is straight and aligned perpendicular to the floor. |
| Frankfort/Occlusal Plane (Vertical) | ||
| Head/Chin Tilted Too High Up | Distorts superior structures placed lingual to the focal trough like the nasal cavities. Superimposes the hard palate over the maxillary teeth apices. Elongates the maxillary anterior teeth. Moves the condyles off the sides of the image. Occlusal plane appears flat or frowned. | Lower the patient’s head/chin down until the Frankfort plane is parallel to the floor. The forehead and chin should be in the same vertical plane. |
| Head/Chin Tilted Too Far Down | Distorts inferior structures placed lingual to the focal trough like the chin. Superimposes the hyoid bone over the mandible. Foreshortens the anterior teeth. Moves the condyles off the top of the image. Occlusal plane appears like a grin. | Raise the patient’s head/chin up until the Frankfort plane is parallel to the floor. The forehead and chin should be in the same vertical plane. |
| Anteroposterior Plane (Forward-Backward) | ||
| Head Too Far Forward | Distorts the anterior teeth horizontally appearing blurred and narrowed (labial to focal trough). Superimposition of the spine onto each side of the image. | Ensure patient’s teeth bite end-to-end in bite block groove. Move AP posterior to center structures in the focal trough and align with landmark. |
| Head Too Far Backward | Distorts the anterior teeth horizontally appearing blurred and widened (lingual to focal trough). Excessive ghosting of the rami may occur. Condyles and rami often cut off on each side of the image. | Ensure patient’s teeth bite end-to-end in bite block groove. Move AP anterior to center structures in the focal trough and align with landmark. |




















