Intraoral Radiographic Anatomy
Course Number: 601
Course Contents
Maxillary Posterior Landmarks
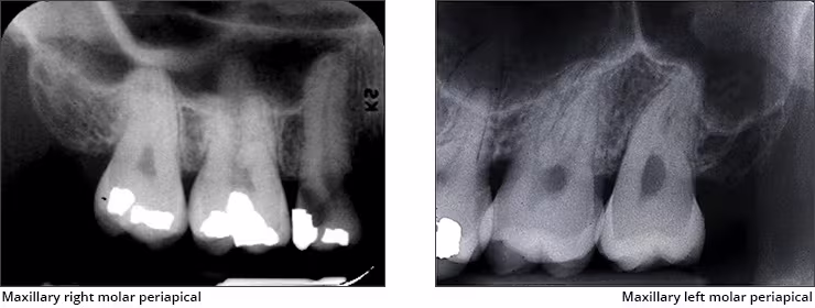
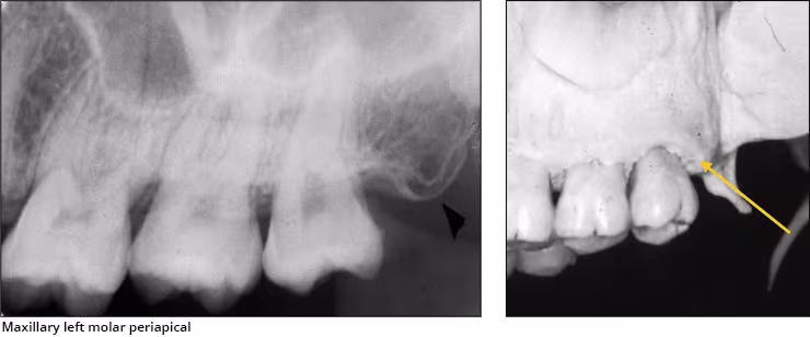
Maxillary sinus – The maxillary sinus is one of the paired paranasal sinuses. This prominent radiolucent air-filled cavity is located above the posterior teeth on the right and left sides of the maxilla. The sinus cavities are horizontally oblong bilateral structures with fine radiopaque borders. The maxillary sinus may contain septa which appear as radiopaque lines within the body of the sinus cavity. The size of the maxillary sinus can be quite variable and sometimes encroaches into the alveolar process, especially when posterior teeth are missing. Typically, the sinus appears uniform right to left. The maxillary sinus is sometimes referred to as the maxillary antrum and can be observed on both maxillary premolar and molar periapical images and partially on lateral-canine periapical images.
Zygomatic bone – The zygomatic bone or cheek bone attaches to the right and left sides of the posterior maxilla. The zygomatic bone, quadrangular in shape, broadens as it extends posteriorly. This bilateral radiopaque structure is also known as the malar bone. The zygomatic bone can be seen on maxillary premolar and molar periapical images.
Zygomatic process - The zygomatic process is the radiopaque U-shaped structure representing where the zygomatic bone attaches to the maxilla. The zygomatic process of the maxilla is the most anterior aspect of the zygomatic bone. The process is positioned toward the midline while the bone extends posteriorly away from the midline. This structure is sometimes referred to as the malar process and can be seen on maxillary premolar and molar periapical images.
Coronoid process – The coronoid process of the mandible is the triangular bony portion of the anterosuperior aspect of the ramus. This mandibular structure can be recorded on maxillary molar periapical images as the ramus moves forward when the patient’s mouth is open. It appears as a bilateral triangular or thumb-like radiopacity on posterior maxillary images. The triangular portion projects forward toward the midline. The coronoid process is the only mandibular structure recorded on maxillary molar periapical images.
Maxillary tuberosity – The maxillary tuberosity is the rounded end of the alveolar process of the maxilla. This radiopaque structure appears bilaterally on maxillary molar periapical images and often on maxillary premolar periapical images and molar bitewings. The tuberosity curves upward at the end of the maxillary alveolar process. The tuberosity gives a smile appearance to the maxilla and the dentition particularly on bitewings.
Pterygoid plates – The lateral and medial pterygoid plates are located behind the maxillary tuberosity. They project a single image configured like a thin wing of bone extending posteriorly from the tuberosity. This bilateral radiopacity is occasionally recorded on maxillary molar periapical images when the receptor is positioned adequately posterior.
Hamular process – The hamular process or pterygoid hamulus is a tiny finger or hook-like projection of bone that extends inferiorly from the medial pterygoid plate. This bilateral radiopacity occasionally appears on maxillary molar periapical images and molar bitewings when the receptor is positioned sufficiently posterior to record it.









