What is Tartar?
Teeth tartar, also called dental calculus, is a crusty deposit that can trap stains on the teeth and cause discoloration. It creates a strong bond that can only be removed by a dental professional. Tartar formation may also make it more difficult to remove new plaque and bacteria. Individuals vary greatly in their susceptibility to plaque and tartar on teeth. For many of us, these deposits build up faster as we age.
How does teeth tartar form?
If plaque is not removed regularly, and completely, minerals in your saliva combine with plaque to form crystals that harden into tartar.
How do I remove tartar from teeth?
While plaque can be removed by thorough brushing and flossing at home, dental calculus can only be removed by a professional in the dental office. Your dentist or hygienist will use sharp instruments to scrape (scale) the tartar above and below the gumline and smooth the tooth’s surface which helps prevent plaque from adhering and more tartar from forming.
Why is it important to prevent dental calculus buildup?
The surface of tartar is rough and makes it difficult to remove plaque with a toothbrush and floss. Tartar is unsightly - it can be yellow or even brown as stains accumulate. In addition, since it attracts plaque and makes cleaning at home difficult, it can contribute to tooth decay, bad breath and serious forms of gum disease.
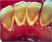
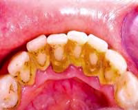
Stages of teeth tartar formation
Slight Dental Calculus
Moderate Dental Calculus
Heavy Dental Calculus
Heavy Dental Calculus
Stages of teeth tartar formation
SHARE









Transform Patients’ Gum Health, Starting Day 1